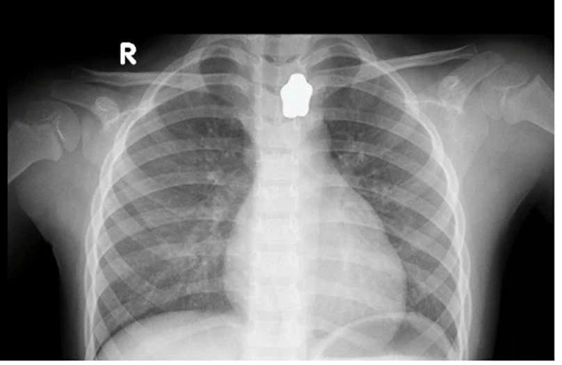
Bệnh nhi N.N.N.Y (ngụ TP Thủ Đức) nhập viện trong tình trạng mắc nghẹn, đau vùng cổ, khó thở nhẹ. Kết quả chụp X-quang ghi nhận, dị vật hình ngôi sao cản quang mắc tại vùng cổ.
BS.CKI Phan Chương - Khoa Thăm dò chức năng - Bệnh viện TP Thủ Đức nhận định, dị vật đường tiêu hóa là một trong những cấp cứu thường gặp ở trẻ em, đặc biệt ở độ tuổi từ 6 tháng đến 3 tuổi. Ở lứa tuổi này, trẻ hiếu động, tò mò nhưng chưa nhận thức đầy đủ về môi trường xung quanh.
Đối với trường hợp bệnh nhi Y., vị trí mắc tại thực quản trên, bề mặt trơn láng. Các bác sĩ tiến hành dùng kềm cá sấu gắp dị vật nhưng thủ thuật thất bại.
Do đó, các bác sĩ thực hiện phương án theo nhu động thực quản đẩy dị vật xuống lòng dạ dày, tiến hành dùng vợt lấy dị vật.
"Sau thủ thuật, kiểm tra thực quản cho thấy thân vị trí trơn láng, không chảy máu. Bệnh nhi Y. có thể uống sữa. Theo dõi thêm 1 ngày tại khoa Nhi và xuất viện", BS Chương cho hay.

Dị vật sau khi được lấy ra.
Theo ThS.BS.CKII Kim Phúc Thành - Trưởng khoa Thăm dò chức năng - Bệnh viện TP Thủ Đức cho biết, mỗi năm đơn vị tiếp nhận khoảng 80-100 ca dị vật đường tiêu hóa.
Các dị vật đa dạng, được phát hiện ở cả người lớn và trẻ em, có thể gây ra những biến chứng nghiêm trọng nếu không được xử trí sớm.
"Để phòng tránh các trường hợp tương tự, phụ huynh cần giám sát chặt chẽ trẻ trong sinh hoạt hàng ngày; cất giữ các vật dụng nhỏ ngoài tầm với của trẻ; tránh cho trẻ vừa chơi vừa ăn. Đặc biệt, phải đưa trẻ đến cơ sở y tế ngay khi nghi ngờ nuốt phải dị vật để được cấp cứu và điều trị kịp thời", BS Thành khuyến cáo.
Theo giaoducthoidai.vn